CASUS 3
"Elke dag als ik wakker word en voor de spiegel sta ontstaat er een lach op mijn gezicht. Ik ben super blij met mijn 'nieuwe' tanden. Marcel en de heren van Esthetic Dental Team hebben super goed en mooi werk geleverd!"
Tosca Hoekstra
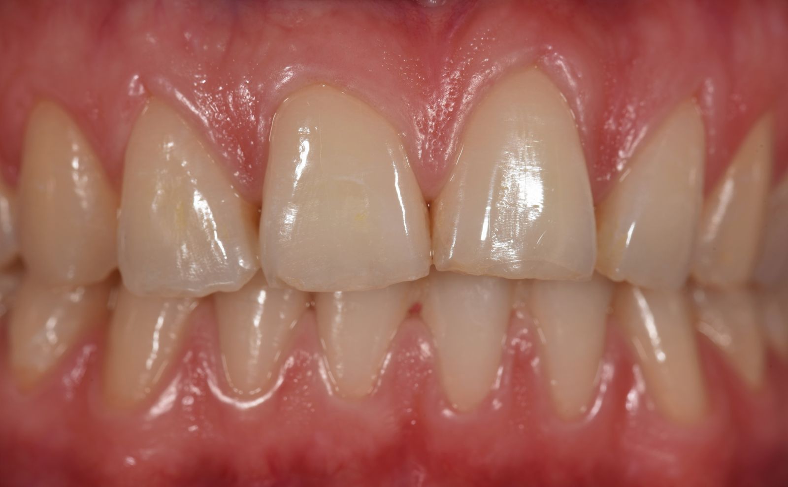
Tosca vond haar tanden wat geel geworden en ook de lengte van haar voortanden waren wat scheef versleten.
Haar wens was om dat met facings weer mooi te maken.
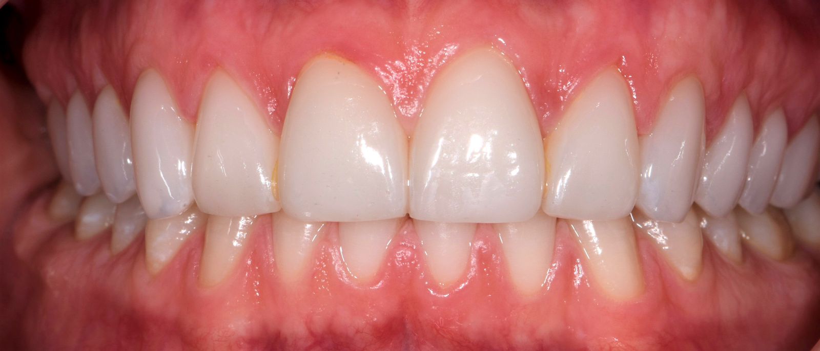
Wij zijn eerst begonnen met bleken om haar tanden een mooie lichtere kleur te geven. In de tussentijd hebben wij een wax-up (proefopstelling) van de tanden en kiezen in de bovenkaak laten maken en deze gepast. Daaruit bleek dat we zonder (!!) te boren haar tanden weer de lengte konden geven die zij vroeger had. We hebben 14 prachtige NON-PREP FACINGS geplaatst en Tosca een supermooie smile kunnen geven.








website maken