CASUS 5
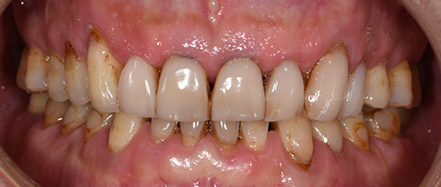
Bij deze casus was er sprake van ongezond tandvlees en door onder andere roken verkleurde tanden. Tevens was er sprake van slijtage en veel oude vullingen op/in alle tanden en kiezen.
Patiënt is eerst een aantal keer bij de mondhygiëniste geweest om het tandvlees weer gezond te krijgen. Dit is misschien wel de belangrijkste stap van de behandeling, want indien de mondgezondheid op orde is heeft dat een positief effect op de algemene gezondheid en op het behandelresultaat.
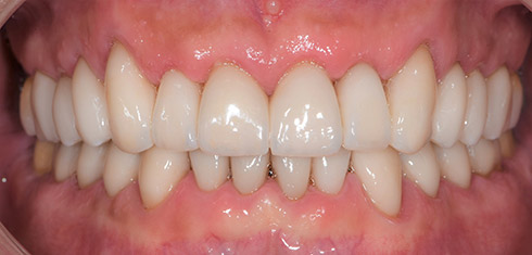
Nadat de mondgezondheid op orde was hebben we alle tanden en kiezen voorzien van hoog esthetisch keramiek om functie en esthetiek te herstellen.
Uiteraard zullen er ook na de behandeling mondhygiëne behandelingen plaatsvinden.





website maken