CASUS 3
"Ik ben erg tevreden met de behandeling en het resultaat. Ik krijg nog vaak complimenten. Het behandelplan werd goed uitgelegd en uiterst professioneel uitgevoerd. De facings van Esthetic Dental Team zijn echt super mooi. Kortom, ik kan het iedereen aanraden"
Peter
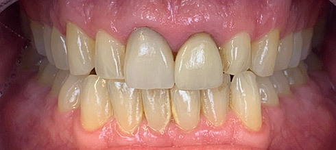
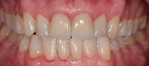
CASUS 6
Hier zijn twee assymetrische middelste voortanden met facings vervangen voor 2 nieuwe keramische facings en is ook een derde facings aangebracht. Tevens is het tandvlees licht gecorrigeerd om alles weer in harmonie te krijgen qua kleur en vormgeving.
voor

na





website maken